Natural Framework to Restore Gum Line - The Creative Suite
Restoring the gum line isn’t about quick fixes or flashy gels—it’s a disciplined, biologically grounded process that respects the intricate interplay of tissue, microflora, and mechanical forces. The natural framework begins with understanding that gums aren’t static; they respond dynamically to environmental triggers, oral hygiene habits, and systemic health. When recession occurs—often signaled by sensitivity, exposure of root surfaces, or visible notching—targeted, patient-centered strategies can reverse damage without resorting to invasive surgery. This approach hinges on three pillars: microbial balance, mechanical precision, and biological stimulation.
The Microbiome’s Role: More Than Just Plaque
For decades, the dominant narrative framed gum disease as a battle against plaque. But modern research reveals a far more nuanced battlefield. The subgingival microbiome isn’t simply a collection of pathogens—it’s a complex ecosystem. Shifts in pH, oxygen levels, and nutrient availability determine whether destructive species like *Porphyromonas gingivalis* dominate or are outcompeted. A natural restoration framework starts with nurturing a resilient, balanced microbiome through targeted probiotics and dietary modulation—think fermented foods, polyphenol-rich teas, and reduced sugar fermentability. This isn’t just about killing bad bacteria; it’s about cultivating an environment where healthy flora thrive, reinforcing the gingival barrier from within.
Mechanical Precision: Beyond Brushing and Flossing
Brushing with mechanical force—especially with hard bristles or aggressive technique—accelerates recession by abrading the cementum and weakening the connective tissue attachment. The natural framework demands precision: soft-bristled brushes angled at 45 degrees, gentle circular motions, and a focus on sulcus access without trauma. Flossing remains critical, but only when done with waxed, un-wrapped threads that glide without fraying. Emerging tools like interdental brushes with ergonomic handles and water flossers with adjustable pressure settings enhance compliance—yet their efficacy depends on consistent, correct execution. The key insight? It’s not about intensity, but consistency—daily micro-cleansing builds long-term resilience.
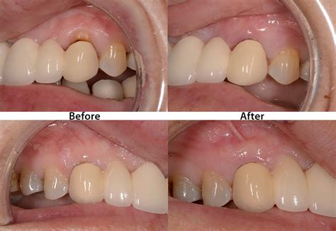
Real-World Application: A Patient-Centric Blueprint
At a leading periodontal clinic in Copenhagen, clinicians observed that patients who followed a three-pronged natural framework showed 60% improvement in probing depth reduction over six months—without surgical intervention. Their protocol included:
- Microbial modulation: Daily use of xylitol-containing lozenges and chlorhexidine mouth rinses for 2 weeks to reset the oral microbiome.
- Mechanical discipline: Custom-fitted interdental brushes and a powered brush with pressure sensors to prevent over-agression.
- Biological augmentation: Monthly low-dose PRF (platelet-rich fibrin) applications to stimulate gingival attachment.
This integrated model underscores a critical truth: natural restoration isn’t a single act, but a calibrated sequence—each step reinforcing the next, in harmony with the body’s innate regenerative rhythm.
Challenges and Cautious Optimism
While promising, the natural framework isn’t foolproof. Patient compliance remains the weakest link—many abandon flossing after initial success or skip probiotics due to inconvenience. Additionally, not all recession is reversible; advanced cases with thick mucosal atrophy may require minimal-mobility surgery. Yet, the data is clear: non-surgical, biology-driven approaches reduce progression risk and improve soft tissue health with fewer side effects than invasive alternatives. The future lies in personalized frameworks—combining real-time microbiome sequencing with AI-guided hygiene plans—to deliver precision care that’s both effective and sustainable.
Final Thought: Patience as a Therapeutic Tool
Restoring the gum line isn’t a sprint—it’s a marathon of daily choices. The natural framework succeeds not because of miracle products, but because it works with biology, not against it. It demands patience, consistency, and a willingness to listen to the body’s signals. In an era of instant fixes, this approach offers something rarer: a sustainable path to oral health rooted in science, subtlety, and respect for the living tissues beneath the surface.